Advertising

Professional
Volume 54, Issue 11, November 2025

Basic fracture management in general practice

John W Adie    Nigel Barr    Daevyd Rodda    Nicole Masters    Nicola Waterreus   
doi: 10.31128/AJGP-11-24-7465   |    Download article
Cite this article    BIBTEX    REFER    RIS

Background

Fractures account for approximately 1% of patient presentations in general practice. Uncomplicated, low-risk fractures rarely require orthopaedic intervention and can be treated exclusively in primary care by the general practitioner (GPs).

Objective

The aim of this paper is to improve the skill set of GPs to enable them to manage low-risk fractures in the primary care setting.

Discussion
Three key factors underpin the safe development and deployment of a primary care fracture clinic (PCFC) in primary care practices: (1) understand fracture healing; (2) acquire a deep understanding of initial examination and management principles; and (3) have a referral network. The right referral network includes orthopaedic surgeons; allied health practitioners such as physiotherapists; and appropriate handouts. Additional considerations are having the right medical insurance; online and hard copy academic and clinical references; and adequate consumables.
 

Musculoskeletal injuries and fractures account for 3.7% and 1% of a general practitioner’s (GP) workload in Australia, respectively.1 Because low-risk fractures rarely require orthopaedic intervention, some Western countries manage these cases within general practice.2 Limited musculoskeletal education3 and inadequate remuneration, however, are significant barriers. Medicare item numbers typically allow only a single billing for the entire fracture management, often failing to cover the time and materials required. A common example is the ‘treatment of fracture of the distal end of the radius or ulna (or both) by cast immobilisation’.4 In New Zealand (NZ), where primary care fracture management is more common than in Australia, GPs receive 150% of the Australian remuneration for similar in-hours management of fractures that require two plaster applications, adjusted for exchange rates.4,5

Because of high GP referral rates for fractures to hospital, one Queensland hospital and health service (HHS) commissioned a primary care fracture clinic (PCFC) at the Ochre Medical Centre Sippy Downs,6 which also has an urgent care clinic (UCC).7 This PCFC was subsidised by the HHS for consumables and managed 23% of the referrals to the hospital fracture clinic using upskilled GPs.6 There were seven most frequently managed fractures in the clinic (Box 1), with a 5.5% re-referral rate back to the hospital fracture clinic because of clinical complexity, fracture movement or healing impairment.6 The co-location of the PCFC with an UCC in general practice is ideal. A study compared an UCC, which was co-located with this PCFC, and managed non-life-threatening injuries including basic fractures, to an after-hours general practice and emergency department (ED). The study found that UCCs are well suited to manage non-life-threatening injuries like basic fractures because of the availability of imaging, consumables and doctors with necessary skill sets.8 The 10 years of operation of the PCFC demonstrates fractures can be managed in primary care. Further studies are being developed on the appropriate management of upper and lower limb fractures in primary care based on the report from the PCFC6 (Box 1). These studies will outline guidelines for GPs, including inclusion and exclusion criteria for fractures suitable for primary care management, ensuring appropriate case selection and safe practice.

This study describes how fractures can be managed in a PCFC, co-located with an UCC that operates seven days per week. There are several considerations that are important if this model is to be reproduced. In addition to having appropriate imaging facilities preferably onsite, it is important to ‘get set up for fracture management’, understand ‘the fracture healing process’, ‘learn initial examination and management principles’ and have an ‘appropriate referral network’. These considerations will be discussed below.

Box 1. Seven most frequently managed fractures in the Primary Care Fracture Clinic (non-operative)6
Item:
Distal radius ± ulnar
Distal fibula ± tibia
Phalanges
Patella
Scaphoid (and other in carpus)
Clavicle
Humerus
Adapted from Clinical Excellence Division, Queensland Health. Evaluation report Sunshine Coast Hospital and Health Service Primary Care Fracture Clinic. State of Queensland, Queensland Health, 2017, under a Creative Commons Attribution 3.0 Australia license.

Aim

This article examines the fundamental principles of fracture management from the ongoing PCFC located at Ochre Medical Centre Sippy Downs, with the goal of encouraging GPs and HSS to do adopt similar practices.

Essentials for basic fracture management in general practice

Effective management of a PCFC requires proper set up for fracture care; a thorough understanding of fracture healing; proficiency in initial examination and management principles; and an established referral network.

Proper set up for fracture management

The set up for a PCFC includes ensuring access to imaging, reference materials, consumables and appropriate medical insurance. The Bettering the Evaluation and Care of Health (BEACH) study reported imaging was requested in 30.9% of musculoskeletal injuries presenting to general practice.1 This proportion might be higher in general practice-based UCCs,9 where injury presentation can be over 2.5-fold higher, with imaging referrals more than 2.3-fold more frequent.8 To ensure appropriate ordering of radiology, adherence to evidence-based guidelines, such as the Ottawa Knee and Ankle rules, is recommended.10,11 It is also important to have access to online and hard copy reference materials and consumables (Table 1).

Medical insurance companies differ in the coverage they provide ‘non-procedural’ GPs for managing fractures. Some allow ‘non-procedural’ GPs to manage ‘simple fractures and dislocations – closed reductions not requiring general anaesthesia and includes necessary non-continuous IV medications/sedation’,12 whereas other medical insurers cover ‘orthopaedics including reduction of simple fractures’ in their ‘GP Procedural’ category, which attracts a different premium.13

Table 1. Reference materials, splinting materials and cast room accessories for the management of fractures in general practice
Reference materials Splinting materials22 Cast room accessories22,37
Hard copy:
  • Practical fracture treatment18
  • McRae’s orthopaedic trauma and emergency fracture management14
  • Simon’s emergency orthopaedics44
Online
  • Orthobullets38
  • Radiopaedia39
  • The Royal Children’s Hospital Melbourne40
  • Diagnostic imaging pathways41
  • Ottawa knee rule10
  • Ottawa ankle rule11
Gypsona® Plaster of Paris or fibreglass casting bandage with:
  • Gloves
  • Scissors
  • Towels
  • Bucket
  • Stockinette
  • Natural orthopaedic padding
  • Crepe bandage
Dynacast Prelude with:
  • Scissors
  • Towel
  • Water bottle
  • Crepe bandage
Splints:
  • Knee immobilisers
  • Lower leg walkers
  • Shoulder immobilisers
  • Collar and cuff supports
  • Wrist immobilisers
  • Wrist and thumb immobiliser
  • Cast scissors
  • Cast removal shears
  • Cast spreaders
  • Cast saw
  • Cutting and non-cutting equipment for ring removal
  • Protractor
  • Ruler
  • X-ray box
Understand the fracture healing process

For most fractures, there are four phases to bone healing (Figure 1). First, inflammation that occurs within the first week, accompanied by fracture haematoma.14 The haematoma develops rapidly into a clot, which serves as a scaffold for new fibrous tissue and bone formation, and is accompanied by vasodilation, oedema formation and inflammatory mediator release.15 Second, soft callus that occurs within weeks 2–3, where granulation tissue is replaced by fibrous connective tissue and cartilage, causing fracture ends to become sticky.14 The most amount of healing happens around the capillary buds that invade the site of the fracture.15 Third, hard callus in weeks 4–12, where bone formation begins in the soft callus where strain is lowest.14 The callus is then ossified with the deposition of calcium hydroxyapatite crystals.15 Finally, remodelling, which can take weeks to years where woven bone is replaced with lamellar bone, especially where the load is greatest.14 This prolonged period is characterised by cycles of osteoclast activity and new bone formation.15 It is this fracture healing process that guides management.


Figure 1. Clinical example of humerus fracture healing. Reproduced from Ghiasi MS, Chen J, Vaziri A, Rodriguez EK, Nazarian A. Bone fracture healing in mechanobiological modeling: A review of principles and methods.

Figure 1. Clinical example of humerus fracture healing.

Reproduced from Ghiasi MS, Chen J, Vaziri A, Rodriguez EK, Nazarian A. Bone fracture healing in mechanobiological modeling: A review of principles and methods. Bone Rep 2017;6:87–100. doi: 10.1016/j.bonr.2017.03.002, with permission from Elsevier.42


Follow initial examination and management principles

At initial presentation of suspected fractures, it is important to examine the injured area, the joint above, the joint below and neurovascular status,14 as well as obtain appropriate X-rays of the affected region.16,17 Some fractures commonly present alongside other injuries; for example, calcaneal fractures are associated with contralateral calcaneal injuries and dorsolumbar fractures (5%).18 Despite radiography being the imaging standard for detecting fractures after trauma, missed diagnoses can occur with potentially significant clinical consequences.19 A systematic analysis of missed extremity fractures in emergency radiology found the overall percentage of missed fractures in the extremities in the ED was 3.7%.20 Important ways to reduce the chance of missed fractures include always getting an anteroposterior (AP) and lateral view;14 discuss and document follow-up of the injury; preparing patients that they might be called if the radiologist finds a fracture the doctor has not seen;20 and having a medical director responsible for the follow-up of results, as occurs in UCCs in NZ.21 If the injury requires immobilisation with materials like Gypsona® Plaster of Paris (BSN Medical Limited; Essity, Stockholm, Sweden), Fibreglass casting bandage or Dynacast Prelude® (Essity UK Ltd, Dunstable, Bedfordshire, UK),22 handouts for cast management should be discussed, provided to the patient and documented in the patient record. In Queensland, fracture ED factsheets exist for adults23 and children.24 Fractures should be reviewed at regular intervals to ensure adequate position and healing.

The first review of a fracture usually occurs at 7–14 days after the initial injury before soft callus starts to become hard callus in the fracture healing process.14 During review, the condition of the injury and position of the fracture can be checked by X-ray, with referral to an orthopaedic surgeon if either is unsatisfactory. Casting material can be changed from Gypsona® Plaster of Paris to fibreglass.

Further review can occur at three or more weeks for upper extremity fractures and four or more weeks for lower extremity fractures depending on the injury, to assess healing and restarting movement.17 Important to fracture healing is strain, which if insufficient can cause removal of callus and delayed union, but if excessive and too early, it can affect healing by fracture of the callus.15 When assessing the stiffness of a fracture, one study of ‘fracture healing assessment comparing stiffness measurements using radiographs’ concluded ‘criteria for determining healing based on radiographic appearance is debatable’.25 Although there is no gold standard, radiographic modalities, clinical assessment (no localised tenderness or heat, no abnormal movement or crepitus), mechanical assessment (no pain on normal loading) and patient-reported measures are used to determine fracture healing.14,26 An important question in fracture healing is: when is fracture strength at a level to allow an athlete return to sport after a fracture? A scoping review and survey of ‘return to sport after forearm fractures in children’, which are the most common fractures in children, found few published recommendations.27 Using a multidisciplined approach involving medical experts and other stakeholders with the capacity to integrate technology, rehabilitation and performance can help guide and monitor obstacles to returning to sport for athletes.28 At further review, if the fracture site is still tender, it might be appropriate to continue to immobilise for another 7–10 days before further review.

Develop a referral network

Care coordination is part of the role of specialist GPs where individualised treatment plans and care coordination is provided along with connection to other healthcare providers.29 A PCFC involves coordination with orthopaedic and allied health practitioners, preferably written, otherwise with oral conversations documented. It also involves providing information resources. These referral networks can include sharing of photographs of imaging. Legal and ethical considerations for sharing X-rays using medical photography include documented consent (preferably written, otherwise oral), data protection (password-protected mobiles with back-up systems disabled and encryption), accuracy of capture30 and de-identification.31

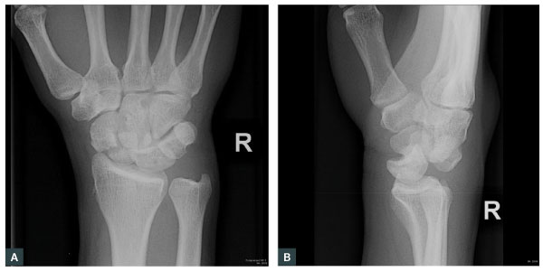
Orthopaedic surgeons need to be involved in the acute or semi-acute management of certain fractures. This includes cases where the fractures are open, displaced, neurovascularly compromised or when significant pathology is suspected. Open fractures occur when there is a fractured bone and skin break in the same limb segment.14 This increases risk for infection and non-union.32 It should be assumed that skin breaks have direct communication with the fracture, even if the open wound is not directly over the fracture.14 Initial treatment includes intravenous antibiotics, anti-tetanus toxoid if required, removal of gross contamination and covering with a simple sterile-soaked dressing and splinting/casting14 and referral for operative debridement.32 Administration of antibiotics within three hours of injury has been found to have an infection rate of 4.7%, whereas those administered after three hours had a higher infection rate of 7.4%.32 An example of a fracture with significant pathology is a trans-scaphoid perilunate dislocation with capitate lunate disruption, dorsal displacement of the capitate on the lunate, fracture through the waist of the scaphoid with a maintained radial lunate articulation (Figure 2).

Certain fracture types require semi-acute orthopaedic involvement, typically managed through a fracture clinic because of a high complication rate. These include fractures of the proximal pole of scaphoid, talus, calcaneus14 and Salter Harris III to V fractures. Salter Harris III and IV fractures generally require open reduction and internal fixation, and Salter Harris V fractures have a potential for growth arrest; therefore, Salter Harris III and V fractures should involve an orthopaedic surgeon for management.33 If a fracture is not healed within 10 weeks, the PCFC should refer patients for orthopaedic opinion. In addition to support from an orthopaedic service, it is important to advise patients with fractures about rehabilitation and time frames for rehabilitation.

Ideal management after traumatic injury such as a fracture should typically involve rehabilitation.34,35 In Australia, the Medicare Benefits Scheme allows GPs to coordinate ‘Team Care Arrangements’ (TCA) involving allied health practitioners such as physiotherapists, podiatrists, psychologists and exercise physiologists following traumatic injury; however, to qualify, the medical condition must be present or expected to persist for at least six months.36 Unfortunately, for many Australians, allied health practitioner-assisted rehabilitation is cost prohibitive. An affordable alternative is to provide information resources to patients.


Figure 2. Trans-scaphoid perilunate fracture dislocation. (A) Frontal X-ray. (B) Lateral X-ray.

Figure 2. Trans-scaphoid perilunate fracture dislocation. (A) Frontal X-ray. (B) Lateral X-ray.
Reproduced from Gaillard F. Trans-scaphoid perilunate fracture dislocation (rID: 18058). Radiopaedia.org, 2012. Available at https://radiopaedia.org/cases/trans-scaphoid-perilunate-fracture-dislocation, with permission from Radiopaedia.org.43
R, right.


Conclusion

GPs can effectively manage low-risk fractures within primary care if they are appropriately set up, have a clear understanding of fracture healing, are trained in initial examination and management principles, and have a referral network. Set-up includes establishing protocols, securing appropriate medical insurance and ensuring access to reference materials and necessary consumables. Referral networks should include orthopaedic surgeons, allied health professionals such as physiotherapists, along with providing suitable patient education materials.

Key points

  • Low-risk fractures are being managed in Australia and internationally by doctors trained in musculoskeletal medicine.
  • Getting set up for a PCFC involves ensuring access to imaging, reference materials, consumables and the right medical insurance.
  • Understanding basic fracture healing informs management of the fracture episode.
  • Learning initial examination and management principles allows low-risk fractures to be managed in general practice and high-risk fractures to be managed by the orthopaedic surgeon either acutely or semi-acutely.
  • Having a referral network that includes orthopaedic surgeons, allied health practitioners like physiotherapists and appropriate handouts allows specialist GPs to thrive in their role as care coordinators who can individualise treatment for patients.
Competing interests: JWA is employed one day per week for the University of the Sunshine Coast to teach, research and network. JWA received an honorarium to teach three webinars for the RACGP Rural to teach fracture management in 2022 and 2023; one of the webinars included this material. JWA and his University of the Sunshine Coast team were invited to teach courses on basic urgent care, which included fracture management in Melbourne, Sydney, Brisbane, South Australia and Perth in 2023–24. The general practice group, ForHealth, paid for travel, room hire and accommodation. The medical supplies company, Essity, provided consumables and teachers. All other authors have no competing interests to declare.
Provenance and peer review: Not commissioned, externally peer reviewed.
AI declaration: The authors confirm that there was no use of artificial intelligence (AI)-assisted technology for assisting in the writing or editing of the manuscript and no images were manipulated using AI.
Funding: None.
Correspondence to:
jadie@usc.edu.au
This event attracts CPD points and can be self recorded

Did you know you can now log your CPD with a click of a button?

Create Quick log
References
  1. Pollack AJ, Bayram C, Miller GC. Musculoskeletal injury in Australian general practice: 2000 to 2015. Aust Fam Physician 2016;45(7):462–65. Search PubMed
  2. Koelink E, Schuh S, Howard A, Stimec J, Barra L, Boutis K. Primary care physician follow-up of distal radius buckle fractures. Pediatrics 2016;137(1). doi: 10.1542/peds.2015-2262. Search PubMed
  3. Wadhwa H, Van Rysselberghe NL, Campbell ST, Bishop JA. Musculoskeletal educational resources for the aspiring orthopaedic surgeon. JBJS Open Access 2022;7(1):e21.00113. Search PubMed
  4. Australian Government, Department of Health and Aged Care. MBS Online: Medicare Benefits Schedule. Commonwealth of Australia, [date unknown]. Available at www.mbsonline.gov.au [Accessed 3 March 2025]. Search PubMed
  5. Accident Compensation Corporation. Service schedule for urgent care clinic service contract. Accident Compensation Corporation, 2024. Available at www.acc.co.nz/assets/contracts/ucc-schedule.pdf [Accessed 8 February 2025]. Search PubMed
  6. Clinical Excellence Division, Queensland Health. Evaluation report Sunshine Coast Hospital and Health Service Primary Care Fracture Clinic. State of Queensland, Queensland Health, 2017. Search PubMed
  7. Adie J. Management of patients with non-life-threatening urgent conditions in the community: A case study in South-East Queensland [Thesis by publication]. University of the Sunshine Coast, 2022. Search PubMed
  8. Adie JW, Graham W, O’Donnell R, Wallis M. Patient presentations to an after-hours general practice, an urgent care clinic and an emergency department on Sundays: A comparative, observational study. J Health Organ Manag 2023. doi: 10.1108/JHOM-08-2021-0308. Search PubMed
  9. Australian Government, Services Australia. Medicare urgent care clinics and other urgent care initiatives. Australian Government, Services Australia, 2024. Available at https://hpe.servicesaustralia.gov.au/INFO/UCC/UCCINFO7.pdf [Accessed 2 February 2025]. Search PubMed
  10. Stiell IG, Greenberg GH, Wells GA, et al. Prospective validation of a decision rule for the use of radiography in acute knee injuries. JAMA 1996;275(8):611–15. doi: 10.1001/jama.1996.03530320035031. Search PubMed
  11. Stiell IG, McKnight RD, Greenberg GH, et al. Implementation of the Ottawa ankle rules. JAMA 1994;271(11):827–32. doi: 10.1001/jama.1994.03510350037034. Search PubMed
  12. Avant mutual. Understanding the general practice categories factsheet. Avant mutual, [date unknown]. Available at https://pages.avant.org.au/rs/991-FAA-288/images/Understanding%20the%20general%20practice%20categories%20factsheet%202021.pdf [Accessed 2 March 2025]. Search PubMed
  13. MIGA. Categories of insurance guide for doctors: Applies from 1 July 2024. MIGA, 2024. Available at www.miga.com.au/MIGA/media/MIGA/Policy%20Documents/categories-of-insurance.pdf [Accessed 2 March 2025]. Search PubMed
  14. White T, Mackenzie S, Gray A. McRae’s orthopaedic trauma and emergency fracture management. 3rd edn. Elsevier, 2016. Search PubMed
  15. Sherman S. Fielding A, Naglieri C, editors. Simon’s emergency orthopaedics. 8th edn. McGraw Hill Education, 2019. Search PubMed
  16. National Institute for Health and Care Excellence (NICE). Fractures (non-complex): Assessment and management. NICE, 2016. Available at www.nice.org.uk/guidance/ng38 [Accessed 24 August 2024]. Search PubMed
  17. Coon M, Denisiuk M, Woodbury D, Best B, Vaidya R. Closed fracture treatment in adults, when is it still relevant? Spartan Med Res J 2022;7(1):28060. doi: 10.51894/001c.28060. Search PubMed
  18. McRae R, Esser M. Practical fracture treatment. 5th edn. Churchill Livingstone, 2008. Search PubMed
  19. Pinto A, Berritto D, Russo A, et al. Traumatic fractures in adults: Missed diagnosis on plain radiographs in the emergency department. Acta Biomed 2018;89(1-S):111–23. doi: 10.23750/abm.v89i1-S.7015. Search PubMed
  20. Wei C, Tsai W, Tiu C, Wu H, Chiou H, Chang C. Systematic analysis of missed extremity fractures in emergency radiology. Acta Radiol 2006;47(7):710–17. doi: 10.1080/02841850600806340. Search PubMed
  21. Royal New Zealand College of Urgent Care (RNZCUC). Urgent Care Standard: 2015. RNZCUC, 2015. Search PubMed
  22. Essity. Orthopaedic: Product range guide. Edition 3. Essity, 2021. Available at https://medical.essity.com.au/fileadmin/z-countries/0-Australia/PDFs/ESS0449_-_Orthopaedic_catalogue_v3_-_LowRes.pdf [Accessed 3 March 2025]. Search PubMed
  23. Clinical Excellence Division, Queensland Health. Fracture emergency department factsheets. Queensland Government, 2024. Available at https://clinicalexcellence.qld.gov.au/sites/default/files/docs/resources/fracture.pdf [Accessed 3 March 2025]. Search PubMed
  24. Queensland Government | Children’s Health Queensland. Limb and cast care. The State of Queensland, Queensland Health, 2025. Available at www.childrens.health.qld.gov.au/health-a-to-z/caring-for-your-childs-cast [Accessed 3 March 2025]. Search PubMed
  25. McClelland D, Thomas PB, Bancroft G, Moorcraft CI. Fracture healing assessment comparing stiffness measurements using radiographs. Clin Orthop Relat Res 2007;457(457):214–19. doi: 10.1097/BLO.0b013e31802f80a8. Search PubMed
  26. Dijkman B, Sprague S, Schemitsch E, Bhandari M. When is a fracture healed? Radiographic and clinical criteria revisited. J Orthop Trauma 2010;24 Suppl 1:S76–80. doi: 10.1097/BOT.0b013e3181ca3f97. Search PubMed
  27. Bhanushali A, Bright R, Xu L, Cundy P, Williams N. Return to sport after forearm fractures in children: A scoping review and survey. J Child Orthop 2023;17(2):164–72. doi: 10.1177/18632521231156434. Search PubMed
  28. Draovitch P, Patel S, Marrone W, et al. The return-to-sport clearance continuum is a novel approach toward return to sport and performance for the professional athlete. Arthrosc Sports Med Rehabil 2022;4(1):e93–101. doi: 10.1016/j.asmr.2021.10.026. Search PubMed
  29. The Royal Australian College of General Practitioners (RACGP). The role of specialist GPs. Position statement. RACGP, 2020. Available at www.racgp.org.au/advocacy/position-statements/view-all-position-statements/health-systems-and-environmental/the-role-of-specialist-gps [Accessed 3 March 2025]. Search PubMed
  30. Zoltie T, Blome-Eberwein S, Forbes S, Theaker M, Hussain W. Medical photography using mobile devices. BMJ 2022;378:e067663. doi: 10.1136/bmj-2021-067663. Search PubMed
  31. Nettrour JF, Burch MB, Bal BS. Patients, pictures, and privacy: Managing clinical photographs in the smartphone era. Arthroplast Today 2018;5(1):57–60. doi: 10.1016/j.artd.2018.10.001. Search PubMed
  32. Atwan Y, Miclau T, Schemitsch EH, Teague D. Antibiotic utilization in open fractures. OTA Int 2020;3(1):e071. doi: 10.1097/OI9.0000000000000071. Search PubMed
  33. Leveine R, Thomas A, Nezwek T, Waseem M. Salter-Harris fracture. StatPearls, 2023. Available at www.ncbi.nlm.nih.gov/books/NBK430688 [Accessed 2 March 2025]. Search PubMed
  34. National Institute for Health and Care Excellence (NICE). Rehabilitation after traumatic injury. NICE, 2022. Available at www.nice.org.uk/guidance/ng211 [Accessed 23 August 2024]. Search PubMed
  35. Gimigliano F, Liguori S, Moretti A, et al; other members of the Technical Working Group. Systematic review of clinical practice guidelines for adults with fractures: Identification of best evidence for rehabilitation to develop the WHO’s Package of Interventions for Rehabilitation. J Orthop Traumatol 2020;21(1):20. doi: 10.1186/s10195-020-00560-w. Search PubMed
  36. Australian Government, Department of Health and Aged Care. MBS Online Medicare Benefits Schedule. Australian Government, Department of Health and Aged Care, [date unknown]. Available at www9.health.gov.au/mbs/search.cfm?q=721%2C+723&Submit=&sopt=S [Accessed 3 March 2025]. Search PubMed
  37. Shekem N, Van Heukelom J. Essential clinical procedures. 4th edn. Elsevier, 2021. Search PubMed
  38. Bullet Health. A clinical collaboration community. Lineage Medical Inc, 2025. Available at www.orthobullets.com [Accessed 3 March 2025]. Search PubMed
  39. Radiopaedia. Radiopaedia online. Radiopaedia.org, 2025. Available at https://radiopaedia.org [Accessed 2 March 2025]. Search PubMed
  40. The Royal Children’s Hospital, Melbourne. Clinical practice guidelines, paediatric fractures guidelines. The Royal Children’s Hospital Melbourne, [date unknown]. Available at www.rch.org.au/clinicalguide/fractures [Accessed 14 February 2025]. Search PubMed
  41. Radiology Across Borders. Diagnostic imaging pathways. Radiology Across Borders, 2025. Available at https://radiologyacrossborders.org/diagnostic_imaging_pathways [Accessed 2 March 2025]. Search PubMed
  42. Ghiasi MS, Chen J, Vaziri A, Rodriguez EK, Nazarian A. Bone fracture healing in mechanobiological modeling: A review of principles and methods. Bone Rep 2017;6:87–100. doi: 10.1016/j.bonr.2017.03.002. Search PubMed
  43. Gaillard F. Trans-scaphoid perilunate fracture dislocation (rID: 18058). Radiopaedia.org, 2012. Available at https://radiopaedia.org/cases/trans-scaphoid-perilunate-fracture-dislocation [Accessed 7 March 2025]. Search PubMed
  44. Sherman S. Simon’s emergency orthopaedics. 8th edn. Fielding A, Naglieri C, editors. McGraw Hill Education, 2019. Search PubMed

Fracture managementGeneral practiceOrthopedicsUrgent care

Download article